
Правим светът по-хубаво място,
усмивка по усмивка.
Кв. "Лозенец", Улица "Черноризец Храбър" 3

Здравей, казвам се д-р Алекс Алексиев.
Щом си тук, вероятно искаш по-здрави зъби и красива усмивка.
Мога да помогна.
Моята сила е точно в това,
да преобразявам усмивки и да се грижа за тях.
Дентални Грижи
Всичко, от което имаш нужда,
на едно място.
Естетични Процедури
Избелване на зъби
Щадящото решение за блестяща усмивка.
За повечето от нас не минава ден без да се насладим на вкусно ястие или любима напитка - кафе, червено вино или чай.
Честото им консумиране обаче може да доведе до оцветяване на зъбите.Ако естествената красота на усмивката се опетни прекалено много, винаги можем да я възстановим.
Често задавани въпроси
Какво представлява избелването като процедура?
Избелването е естетична процедура, при която се премахват натрупаните оцветявания по зъбите. Използва се избелващ агент, с активни вещества, които проникват в емайла на зъба. Там те взаимодестват химически с молекулите на пигмента, разкъсват ги и извличат оцветяването обратно навън. Резултатът е, че зъбите възстановяват естествената си белота, без да бъдат увреждани от агента.
Вредно ли е избелването за зъбите ?
Не и когато се извършва от дентален лекар със съответните професионални избелващи агенти.Премахват се само пигментите, които са натрупани в емайла и горните слоеве на дентина, без да бъдат увредени самите твърди зъбни тъкани.
Понякога, като страничен ефект от избелването, може да се получи краткотрайна чувствителност.
Това отминава много бързо, почти винаги в рамките на ден-два след процедурата.
За да минимизираме риска от поява на чувствителност след избелване, нанасяме върху зъбите реминерализиращ гел. Той осигурява надежна защита от неприятни усещания непосредствено след процедурата.
Кои са различните видове избелване на зъби?
Избелването може да се извърши в кабинета, от денталния лекар (процедурата трае около 1 час) или вкъщи, с помоща на избелващи шини. В домашни условия същия ефект се постига за около 10 дни.
Активното избелващо вещество и в двата случая е едно и също
(и напълно безвредно за зъбите), разликата е в концентрацията му - при домашната избелваща система е по-ниска.
Кога могат да бъдат избелвани зъбите?
Могат да бъдат избелвани само здрави и чисти зъби.
Тази процедура се прави след като се уверим, че няма налепи от плака и зъбен камък, както и кариеси по зъбите, които предстои да бъдат избелвани.
Имаш ли други въпроси?
Ако искаш да разбереш повече за тази процедура или имаш въпроси за своята усмивка, може да ни изпратиш съобщение
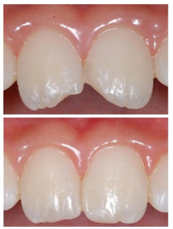
Бондинг
Твоите зъби, просто по-хубави

Бондингът е процедура, при която добавяме материал, известен като композит, върху повърхността на зъбите, за да променим размера, формата и цвета им, и да се хармонизира усмивката.Процедурата може да поправи несъвършенства като износени ръбове, отчупвания или петна по зъба.

Композитът може да се постави върху цялата предна повърхност на зъба, като фасета, или само по ръбовете, известно като "Edge Bonding"Освен очевидните естетически предимства, основни предимства на бондинга са:Напълно безболезнено е – в повечето случаи не са необходими упойки .Щадяща процедура е – не е необходимо зъбът да бъде пробиван или увреденОтнема едно посещение - тръгваш си с новата, преобразувана усмивка на същия ден.
С какво можем да помогнем?Ако искаш да разбереш повече за тази процедура или имаш въпроси за своята усмивка, може да ни изпратиш съобщение
Основни Лечебни Процедури
Лечение на Кариес и възстановяване с бели пломби
Бързо. Лесно. Безболезнено.



Пломбите от композитна смола или белите пломби са масово възприети като най-популярната възможност за възстановяване на функцията и целостта на зъба.Основното им предимство е тяхната естетическа привлекателност.Те са естествено изглеждащо решение за възстановяване на зъби, които са частично разрушени вследствие на кариес. Практически невидими са в устата и карат зъбите да изглеждат по-бели и по-ярки от преди.Понякога кариесът не може да се види с визуална проверка – обикновено защото увреждането е настъпило между зъбите или под линията на венците.
Ето защо може да се наложи да направим дигитална рентгенова снимка в някои случаи, защото получените изображения ще дадат ясна информация за скрит кариес, ако има такъв.Композитният материал има способността да се залепва химически към зъба и да го запечати, правейки готовото възстановяване много по-издръжливо.
Благодарение на отличната му способност за залепване към зъба, по-малко от естествената зъбна структура трябва да бъде отстранена при лечението.
Имаш ли Въпроси?Насреща сме.
Почистване на зъбен камък и
лечение на възпалени венци
Процедурата, от която всеки има нужда.


Ултразвуковото почистване на зъбен камък е една от основните дентални процедури.След всяко хранене по зъбите и венците остават хранителни остатъци, които се превръщат в плака.Въпреки, ежедневното почистване с четка и конец , има места, на които плака ще продължава да се натрупва след всяко хранене.
Това възпалява и разранява венците, и ако не бъде лекувано навреме може да доведе до сериозни пародонтални заболявания и загубата на зъби.Ако искаш да се погрижиш за здравето на своите венци, ние можем да помогнем.Ето как ние се справяме с този проблем при своите пациентиПремахваме плаката и зъбния камък, полепнали по зъбите, с помощта на ултразвукови дентални скалери.
Този инструмент премахва нежеланите натрупвания с ултразвукови вибрации, много по-бързо, отколкото просто с помощта на ръчен ръчен скалер в миналото.След това полираме зъбите с помощта на AirFlow - специален дентален перлен прахТой съдържа кръгли частици, които не нараняват зъбите и се впръсква под налягане, смесен с вода. Така достигаме и до
най-трудните за почистване места по зъбите.
Полирането премахвa петна по повърхността на зъбите и заглажда зъбните повърхности. Това прави залепването и отлагането на плака по-трудно.Полирането отнема по няколко секудни за всеки зъб и резултатът е видимо по-бели, и по-чисти зъби.
Имаш ли Въпроси?Насреща сме.
Лечение на възпалени зъби
ТЕКСТ
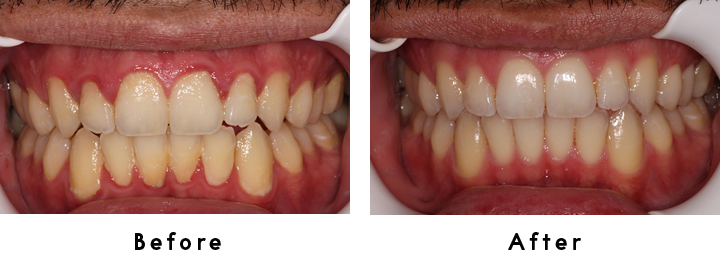
Лечение с алайнери
Преобразувай усмивката си



Животът е по-хубав с превъзходна усмивка
Но това не е единствената причина да подредим зъбите си.Освен по-красива усмивка, ортодонтското лечение може да подобри и балансира контактите между горните и долни зъби, както и да хармонизира цялата захапка.Какво представляват алайнерите?Те са най-съвременното решение за ефективни, бързи и предвидими ортодонтски корекции, и имат редица предимства пред брекетите.Алайнерите са прозрачни и незабележими силиконови шини, които се изработват индивидуално спрямо твоите зъби и захапка. Произвеждат се чрез иновативна дигитална 3D технология, след предварителен компютърен анализ.Това позволява да видиш предварително как ще изглежда крайният резултат още преди започване на лечението.КАКВИ СА ПРЕДИМСТВАТА НА АЛАЙНЕРИТЕ?Подреждането на зъбите с алайнери е сравнително бърз процес. При традиционните метални брекети, лечението може да отнеме години, докато зъбите се подредят правилно. С алайнерите, обаче, много пациенти виждат подобрения във вида на усмивката си в рамките на няколко месеца.Една от най-големите ползи на алайнерите е, че са много дискретни. Тъй като са прозрачни, много хора няма да забележат, че ги носиш. Това прави лечението с алайнери подходящо за всички, които искат да подобрят вида на зъбите си, но не искат да изглеждат като традиционен пациент на ортодонт.Освен това, лечението с алайнери е достъпно за много хора. Въпреки че цената може да варира в зависимост от дължината на лечението и други фактори, алайнерите са често по-достъпни от традиционните метални брекети.Алайнерите са много по-удобни и естетични в сравнение с брекетите.КАК ПРОТИЧА ЛЕЧЕНИЕТО С АЛАЙНЕРИ?Преди всяко ортодонтско лечение провеждаме обстоен преглед, обсъждаме какво искаш да промениш в усмивката си и при необходимост се назначават допълнителни изследвания и рентгенографии.Ако имаш кариеси, зъбен камък или други заболявания на зъбите или венците, те трябва да се излекуват и премахнат преди започване на ортодонтското лечение.Когато устната кухина, зъбите и венците са здрави правим фотодокументация и сканираме зъбите и захапката ти.По сканираните дигитални 3D модели и рентгеновите снимки правим ортодонтски анализ. Той е необходим за изготвяне на план за ортодонтското лечение.Този лечебен план съдържа цялата информация, за това колко време ще продължи, какви са стъпките на лечението с алайнери, колко алайнера ще са необходими за постигане на желания резултат и каква ще е стойността на лечението.Обикновено лечението с алайнери продължава няколко месеца. Броят на алайнерите и стъпките, които са необходими за постигане на крайния резултат, зависят от конкретния случай, който е строго индивидуален при всеки пациент.Важно условие е тези невидими шини да се носят по минимум 22 часа на ден. Алайнерите се свалят единствено при хранене и миене на зъбите, за да бъде максимално ефективно ортодонтското лечение с тях. Обикновено смяната на различните алайнери става на всеки 2-3 седмици, в зависимост от случая.Твоето съдействие и постоянство в носенето на всички алайнери е от огромно значение за крайния резултат.След приключване на лечението с алайнери, е необходимо поставяне на фиксирани или снемаеми ретайнери, благодарение на които зъбите запазват своята правилна позиция.
Имаш ли Въпроси?Насреща сме.

Дентални импланти

Циркониеви Коронки
Статии














